
2026年1月6日,远大医药(中国)有限公司申办的“钇[90Y]树脂微球注射液联合卡瑞利珠单抗和/或阿帕替尼与钇[90Y]树脂微球注射液单用对比经肝动脉化疗栓塞(cTACE)治疗不可手术或消融的、非转移性的肝细胞癌的随机、阳性治疗平行对照、开放标签的全国多中心II期注册临床研究”在中国药科大学附属南京天印山医院顺利完成首例受试者钇[90Y]树脂微球注射液治疗!


1.三家组长单位领航,多学科顶尖团队护航
该项全国多中心临床试验由中国药科大学附属南京天印山医院秦叔逵教授、复旦大学附属中山医院樊嘉院士、北京清华长庚医院董家鸿院士三位肝癌领域的领军人物共同领衔,汇聚国内肝胆肿瘤、介入治疗、核医学等领域的顶尖医疗资源鼎力协作。我院首例受试者从确诊、筛选、评估及钇[90Y]树脂微球注射液的精准给予,医院研究团队和管理团队,项目组专家团队以及申办方远大医药(中国)有限公司试验项目组通力合作,对肿瘤病灶治疗剂量的估算、正常组织的防护策略等进行了充分的论证和推演,临床试验机构办对试验过程的各项SOP进行反复确认和培训,保障了首例病人治疗的顺利开展。手术的成功实施,不仅是对钇[90Y]树脂微球精准治疗技术的临床验证,更标志着我院在肝癌精准介入治疗领域取得重要的技术突破,为学科建设与临床科研融合发展奠定坚实基础。
2.直击肝癌治疗痛点 ,精准照射肿瘤病灶
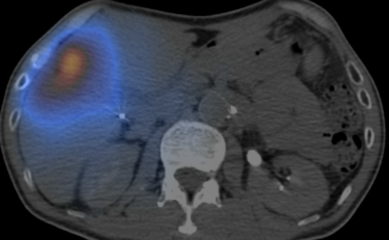
经肝动脉化疗栓塞(cTACE)是无法手术治疗的原发性肝癌常用的局部治疗方式,但对于部分复杂病灶疗效不佳。钇[90Y]树脂微球作为前沿放射性核素治疗产品,具有独特优势,其搭载的钇[90Y]能辐射高能量纯β射线,半衰期适中(64.1h)且组织穿透距离短(组织内平均射程R=2.5mm,最大射程R0=11mm),可在有效杀伤肿瘤细胞的同时最大程度保护正常肝组织。利用肝癌细胞与正常肝细胞血供来源的差异,20-60μm粒径的树脂微球可通过肝动脉精准进入肿瘤供血动脉并富集于末梢血管,实现对肿瘤的选择性体内放射治疗(SIRT),精准“狙击”病灶。本品已在我国上市,批准用于经标准治疗失败的不可切除的结直肠癌肝转移患者。2025年7月,基于DOORwaY90临床试验的数据,美国FDA提前批准钇[90Y]树脂微球用于治疗不可切除肝细胞癌。研究显示其治疗原发性肝癌的客观缓解率为98.5%。多家主流专业指南,包括CSCO、NCCN及ESMO等均推荐钇[90Y]树脂微球用于不可切除的HCC治疗。

3.质速并重严把控,全流程规范赋能
为确保我院首例钇[90Y]手术安全、精准实施,我院严格遵循国家药品监督管理局(NMPA)要求及《药物临床试验质量管理规范》(GCP)标准,建立了覆盖术前、术中、术后的全流程闭环质控体系。项目启动后,由肿瘤内科、介入治疗科和核医学科组成的医院研究团队,和该项目的院外专家团队一起,多次召开专项研讨会,针对钇[90Y]树脂微球的剂量计算模型、手术操作动线、辐射防护规范及应急预案等关键环节进行反复推演与模拟,确保每一环节无缝衔接,为手术顺利实施筑牢基础。

钇[90Y]手术开始前,临床试验机构办公室牵头组织召开“钇[90Y]微球注射液使用全流程”专项培训,涵盖研究团队、介入治疗、核医学、护理团队等相关医护人员,系统强化操作规范与安全防护意识。术前评估阶段,通过99mTc-MAA后SPECT-CT检查(即Mapping)精准测算肿瘤靶区与正常肝组织血流分布,汇集包括项目组专家团队在内的多学科会诊意见,为患者量身制定个体化给药方案;手术过程中,介入科精准手术,项目组专家团队在线实时指导,核医学科对辐射剂量进行实时动态监测,临床试验机构办公室全程驻场实施质量监督,确保每一步操作均符合研究方案与临床安全规范,实现治疗精准性与患者安全性双重保障。

4.项目持续招募中,携手共抗肝癌
作为医、教、研三位一体的研究型医院,我院始终坚持“以患者为中心”,深耕快速诊疗响应机制建设,构建全周期高效诊疗体系。此次首例钇[90Y]手术的快速推进,正是体系优势的生动体现。后续,我院将持续深化机制建设,稳步推进项目开展,保障受试者安全,探索肝癌精准治疗最优方案,助力创新医疗技术转化,以“天印山力量”惠及更多肿瘤患者。
目前,本项临床研究正在全国范围内有序推进,我院现面向社会公开招募符合以下条件的患者:
1.年龄≥18岁且≤75岁,性别不限;
2.经病理组织学/细胞学检查确诊,或者符合《原发性肝癌诊疗指南(2024)》临床诊断标准的HCC;
3.不适合/拒绝采取手术(包括肝切除术和肝移植术)或消融治疗;
4.CNLC分期Ib - IIIa期。不包括Vp4型门静脉癌栓侵犯,如果合并门静脉癌栓Vp1-3型,该癌栓必须与计划治疗的肿瘤区域位于同侧肝叶;
5.根据RECIST v1.1和mRECIST 标准,至少具有1个可测量病灶;
6.适合行 SIRT 、 TACE 、"双艾"治疗;
7.ECOG PS评分:0-1分,Child-Pugh 肝功能分级:A级或≤7分的B级。
如果您或您的亲友符合上述条件,并希望了解研究详情或参与评估,请与我们联系!
添加研究医生或临床试验小助手微信咨询及初步审核。联系方式:18851721981

素材来源:张如梦 沈明雪
编辑:吴文祺
审核:陈映霞 李勇